丹毒は光沢を伴って隆起・硬結した圧痛を伴う境界明瞭な局面である。水疱形成する場合もある
高熱、悪寒。倦怠感が伴って発症することが多い
下肢 および顔面に好発する
原因菌は多くは溶連菌、ついで黄色ブドウ球菌である
境界明瞭である発赤局面であることが蜂窩織炎との鑑別点であるが厳密には区別できない
初期に壊死性筋膜炎を除外しておくことが大切
疾患
感染症 (31)
1.
敗血症
┗ 敗血症の初期治療
┗ ショックの初期診断アルゴリズム
┗ 敗血症における抗生剤の選択
┗ NEWSの判断基準
┗ qSOFA
┗ 敗血症の診断基準
┗ 努力性呼吸
2.
髄膜炎
┗ 細菌性髄膜炎
┗ 無菌性髄膜炎
┗ IgG index
3.
Toxic Shock Syndrome
4.
急性喉頭蓋炎
5.
深頸部感染
6.
肺炎
┗ 市中肺炎
┗ 院内肺炎
┗ 医療・介護関連肺炎
┗ 誤嚥性肺炎
┗ マイコプラズマ肺炎
┗ レジオネラ肺炎
┗ 市中肺炎の鑑別
┗ A-Drop
8.
尿路感染症
9.
感染性心内膜炎
┗ 修正Duke診断基準
10.
腸腰筋膿瘍
11.
蜂窩織炎
12.
壊死性筋膜炎
13.
丹毒
14.
C.difficile感染症
15.
腸管出血性大腸菌
16.
レプトスピラ症
16.
サルモネラ感染症
17.
特発性細菌性腹膜炎
18.
帯状疱疹
19.
伝染性単核球症
20.
HIV感染症
21.
パルボウイルスB19(伝染性紅斑)
21.
ウイルス性関節炎
22.
マラリア
22.
麻疹
22.
単純ヘルペス
23.
風疹
24.
インフルエンザ脳症
25.
結核
┗ 肺外結核
┗ 結核性頸部リンパ節炎
26.
発熱性好中球減少症
┗ MASCCスコア
30.
淋菌性関節炎
40.
腎機能低下時の抗生剤投与量の調節
丹毒
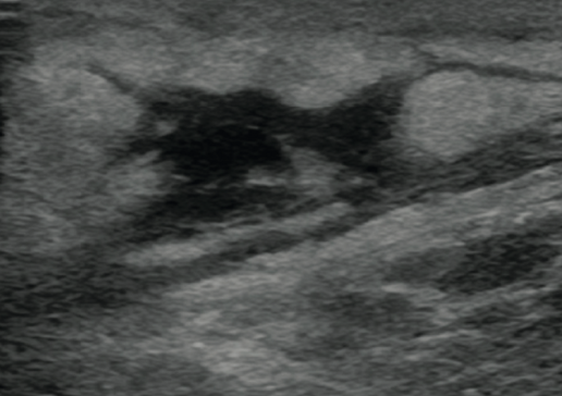
皮下膿瘍
治療
経口薬
セファレキシン 1500mg 3x
静注薬
セファメジン 2g q8
治療期間は7〜10日間が普通だが、軽症の場合は5日でもよいかもしれない。重症の場合は14日ほど投与する

治療
- 外来
-
セファレキシン2000mg 4x
クリンダマイシン1200mg 4x
- 入院
-
セファゾリン 2g q8
クリンダマイシン600mg q8
顔面ではMRSAの頻度が比較的高い